

Врачи краевой детской больницы сообщили о трёх клинических случаях с проглатыванием магнитных шариков малышами с начала этого года. В двух случаях инородные предметы находились в желудке и их удалось извлечь эндоскопическим путём.
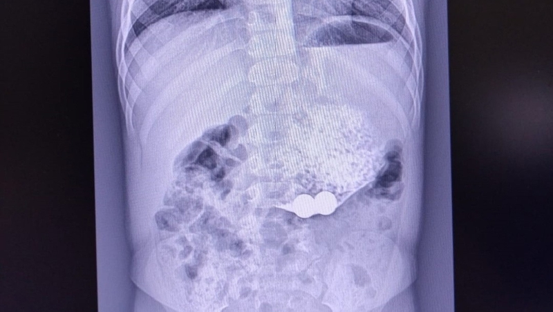
В третьем случае, так как родители не сразу поняли, что произошло, пришлось прибегнуть к операции. Сначала обеспокоенные ставропольцы обратились к врачу по месту жительства с жалобой на многократную рвоту у ребёнка. Снимок показал, что в его тонком кишечнике есть инородные тела. Ими оказались магниты.
Пациента сразу направили в детскую крайбольницу. Его экстренно прооперировали.


«В ходе хирургического вмешательства выявлена кишечная непроходимость, вызванная сращением кишечных петель из-за притягивания магнитов друг к другу»,
— сообщили в медучреждении.
Инородные тела удалили, целостность кишки восстановлена. На сегодня маленький пациент продолжает лечение.
Напомним, недавно ставропольские врачи извлекли из глаза женщины крупный фрагмент ветки. Пациентка не обращалась за медпомощью около двух недель.