

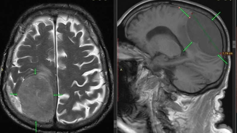
По словам нейрохирургов больницы, при удалении опухолей таких размеров возникают резкие колебания внутричерепного давления. Это отражается на работе сердца и артериальном давлении. Поэтому медики экстренно провели костно-пластическую трепанацию черепа и удалили опухоль.
«Операция прошла успешно. На контрольной томографии мозга признаков кровотечения в ложе удалённой опухоли не было, мозг расправился, восстановились нормальные размеры и форма желудочковой системы»,
— рассказал нейрохирург Вадим Зотов.
Ранее сообщалось, что врачи сосудистого центра в Пятигорске впервые использовали биоразлагаемые стенты.