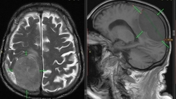
Пять лет в России действовал нацпроект «Здравоохранение», который в том числе помог улучшить лечение онкологических заболеваний. Корреспондент «Победы26» отправилась в краевой онкодиспансер Ставрополя и узнала о передовых операциях, новых методиках и о том, как изменилась работа онкологов за это время. Подробности — в материале информагентства.
27 февраля 2025, 14:48